Understanding Titanium Plates in Wrist Fracture Treatment
Titanium plates have revolutionized the field of orthopedic surgery, especially in the treatment of wrist fractures.
These plates are outlined to give steady obsession of broken bones, permitting for ideal recuperating and quicker recuperation. The utilize of titanium as a fabric for these plates offers various preferences over conventional materials.
Titanium is famous for its uncommon strength-to-weight proportion, biocompatibility, and erosion resistance. These properties make it a perfect choice for restorative inserts, counting plates utilized in wrist break surgeries. Titanium plate for wrist fracture are lightweight, however strong enough to withstand the stresses set on the wrist amid everyday exercises and the mending handle.
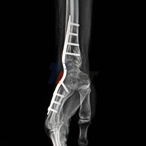
A titanium plate is surgically implanted and fastened to the damaged bone with tiny screws when it is used to treat a wrist fracture. Open reduction and internal fixation (ORIF) is a technique that enables surgeons to precisely realign shattered bones and keep them in place while they recover.
The biocompatibility of titanium is particularly crucial in the context of wrist fracture treatment. Unlike some other materials, titanium rarely causes allergic reactions or rejection by the body's immune system. This compatibility reduces the risk of complications and promotes faster healing, as the body can focus on bone regeneration rather than fighting against a foreign substance.
How Titanium Plates Accelerate Healing in Wrist Fractures
The implementation of titanium plates in wrist fracture surgery has shown remarkable results in terms of accelerating the healing process. Several factors contribute to this enhanced healing time:
Stable Fixation: Titanium plates provide a level of stability that is crucial for proper bone healing. By keeping the fractured bones firmly in place, these plates create an optimal environment for new bone formation. This stability minimizes micro-movements that could otherwise disrupt the healing process, allowing for faster and more efficient bone union.
Early Mobilization: One of the significant advantages of using titanium plate for wrist fractures is the potential for early mobilization. Traditional treatment methods often require prolonged immobilization, which can lead to stiffness and reduced range of motion. With titanium plates, patients can often begin gentle movements and rehabilitation exercises sooner, promoting better circulation, reducing swelling, and preventing muscle atrophy.
Reduced Inflammation: Titanium's biocompatibility plays a role in reducing inflammation at the fracture site. Less inflammation means less pain and swelling, which can contribute to a more comfortable recovery experience for the patient. This reduction in inflammatory response allows the body to allocate more resources towards the actual healing process.
Improved Blood Supply: The design of titanium plates often incorporates features that help preserve blood supply to the fracture site. Adequate blood flow is essential for delivering nutrients and oxygen necessary for bone healing. By maintaining good vascularity, titanium plates support faster and more effective bone regeneration.
Customization and Precision: Advanced manufacturing techniques allow for the creation of titanium plates that are precisely tailored to the patient's anatomy and the specific fracture pattern. This customization ensures optimal fit and alignment, which can contribute to faster healing and better functional outcomes.
Investigate has appeared that patients treated with titanium plates for wrist breaks frequently have shorter recuperating times compared to those treated with conventional strategies. A think about distributed in the Diary of Orthopedic Surgery and Inquire about found that patients with distal sweep breaks treated with titanium plates appeared to have noteworthy enhancements in grasp quality and run of movement as early as six weeks post-surgery.
Long-Term Benefits and Considerations of Titanium Plates for Wrist Fractures
While the immediate impact of titanium plates on healing time is noteworthy, it's equally important to consider the long-term benefits and potential considerations associated with their use in wrist fracture surgery:
Durability and Longevity: Titanium plates are known for their exceptional durability. In many cases, these plates can remain in place indefinitely without causing issues. This longevity eliminates the need for additional surgeries to remove the implant, reducing overall medical costs and patient discomfort.
Reduced Risk of Refracture: The strength and stability provided by titanium plates significantly reduce the risk of refracture, even after the initial healing period. This is particularly beneficial for patients with osteoporosis or those at higher risk of future injuries.
Minimal Interference with Imaging: Unlike some other metallic implants, titanium plates cause minimal interference with medical imaging techniques such as MRI and CT scans. This characteristic is valuable for long-term follow-up and monitoring of the healed fracture.
Potential for Improved Functional Outcomes: The precise alignment and stability offered by titanium plate for wrist fracture can lead to better long-term functional outcomes. Patients often experience improved wrist mobility and strength compared to those treated with more traditional methods.
Considerations for Removal: While titanium plates can often remain in place permanently, there may be instances where removal is necessary or preferred. Factors such as patient discomfort, irritation of surrounding tissues, or the need for future surgeries in the same area might necessitate plate removal. However, the removal process is typically straightforward and can be performed as an outpatient procedure in most cases.
Cold Sensitivity: Some patients report increased sensitivity to cold temperatures in the area where the titanium plate is implanted. While this is generally not a significant issue, it's something patients should be aware of and can usually be managed with simple precautions.
Cost Considerations: The initial cost of titanium plate surgery may be higher compared to some traditional treatment methods. However, when considering the potential for faster recovery, reduced complications, and improved long-term outcomes, many healthcare professionals and patients find the investment worthwhile.
It's worth noting that the success of titanium plate treatment for wrist fractures depends on various factors, including the severity of the fracture, the patient's overall health, and adherence to post-operative care instructions. Proper surgical technique and expertise in using titanium plates are crucial for achieving optimal results.
Conclusion
The use of titanium plate for wrist fractures represents a significant advancement in orthopedic surgery. By providing stable fixation, promoting early mobilization, and leveraging the unique properties of titanium, these plates have demonstrated a remarkable ability to accelerate healing times and improve patient outcomes.
For those interested in learning more about titanium medical implants and their applications in orthopedic surgery, Baoji INT Medical Titanium Co., Ltd. offers a wealth of information and expertise. With over 30 years of experience in the research, development, and production of medical titanium materials, INT provides high-quality titanium products for various medical applications. To explore their range of titanium materials and implants or to discuss specific requirements, interested parties can reach out to INT at export@tiint.com.








2025-10-16 16:40:50


_1752821449466.webp)
_1752643437358.webp)
_1751957234428.webp)
_1751956094730.webp)
_1750663253486.webp)
_1753927576158.png)
