Benefits of Titanium Plate Fixation in Wrist Fracture Surgery
2025-12-23 08:25:27
Wrist fractures are common wounds that can essentially impact a person's daily life and exercises. When it comes to treating these fractures, orthopedic specialists regularly turn to titanium plate obsession as a solid and viable arrangement. This progressive surgical strategy offers various benefits for patients, advancing speedier mending and progressive results. In this comprehensive guide, we'll investigate the advantages of using a titanium plate for wrist fracture treatment and why it has ended up a favored choice among restorative professionals.
|
|
|
Understanding Wrist Fractures and Treatment Options
Before diving into the benefits of titanium plate obsession, it's fundamental to get what a wrist fracture involves and the different treatment alternatives accessible. A wrist break regularly includes a break in one or more of the bones that make up the wrist joint, counting the scaphoid, ulna, or carpal bones. These injuries can extend from straightforward, stable fractures to complex, uprooted breaks that require surgical mediation.
Treatment choices for wrist fractures depend on the seriousness and area of the break. In a few cases, non-surgical strategies such as casting or splinting may be adequate. Be that as it may, for more severe or unsteady fractures, surgical intercession becomes fundamental to guarantee legitimate arrangement and recuperating of the bones.
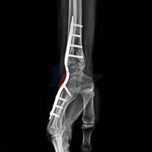
One of the most effective surgical techniques for treating wrist fractures is internal fixation using a titanium plate. This method involves placing a specially designed titanium plate across the fracture site and securing it with screws to hold the bone fragments in their correct position during the healing process.
Advantages of Titanium Plate Fixation for Wrist Fractures
The use of a titanium plate for wrist fracture treatment offers several significant advantages over other fixation methods:
Enhanced Stability and Support
Titanium plates provide superior stability to the fractured bone, allowing for better alignment and reduced risk of displacement during the healing process. This enhanced stability is particularly crucial for complex or comminuted fractures where multiple bone fragments need to be held in place. The rigidity of the titanium plate ensures that the wrist remains properly aligned, even when subjected to minor stresses or movements.
Biocompatibility and Reduced Risk of Rejection
Titanium is highly biocompatible, meaning it is well-tolerated by the human body and less likely to cause adverse reactions or allergies. This characteristic makes titanium plates an excellent choice for internal fixation, as they can remain in the body for extended periods without causing inflammation or rejection. The biocompatibility of titanium also contributes to faster healing and reduced risk of complications.
Accelerated Healing and Recovery
The stability provided by titanium plate fixation allows for earlier mobilization of the wrist joint, which can significantly accelerate the healing process. Patients can often begin gentle range-of-motion exercises sooner than with other treatment methods, helping to prevent stiffness and promote better long-term function. This faster recovery time can be particularly beneficial for individuals eager to return to their normal activities or work.
Durability and Long-Term Performance
Titanium plate for wrist fracture is known for their exceptional strength-to-weight ratio and resistance to corrosion. These properties ensure that the fixation remains stable and effective over time, even when subjected to the stresses of daily activities. The durability of titanium plates also means that they can often be left in place permanently without causing issues, eliminating the need for a second surgery to remove the hardware.
Minimally Invasive Options
Advancements in surgical techniques have led to the development of minimally invasive procedures for titanium plate fixation. These approaches involve smaller incisions and less tissue disruption, resulting in reduced scarring, less post-operative pain, and faster recovery times. Minimally invasive techniques are particularly beneficial for patients concerned about cosmetic outcomes or those with a higher risk of surgical complications.
Considerations and Potential Drawbacks
While titanium plate fixation offers numerous benefits for wrist fracture treatment, it's important to consider potential drawbacks and limitations:
Cost Considerations
Titanium plates and the associated surgical procedures can be more expensive than some alternative treatment options. However, the long-term benefits and reduced risk of complications often outweigh the initial cost for many patients.
Surgical Risks
As with any surgical procedure, there are inherent risks associated with titanium plate fixation, including infection, nerve damage, and anesthesia-related complications. However, these risks are generally low when the surgery is performed by an experienced orthopedic surgeon.
Potential for Hardware Irritation
In some cases, patients may experience discomfort or irritation from the titanium plate, particularly if it is placed near tendons or other sensitive structures. While this is relatively uncommon, it may necessitate removal of the hardware in rare instances.
Imaging Considerations
Titanium plate for wrist fracture can cause artifacts on certain imaging studies, such as MRI or CT scans. While this typically doesn't interfere with diagnostic accuracy, it's an important consideration for future medical imaging needs.
The Future of Wrist Fracture Treatment
As technology continues to advance, we can expect further improvements in titanium plate design and surgical techniques for wrist fracture treatment. Some emerging trends include:
3D-Printed Custom Plates
The development of 3D-printed titanium plates tailored to a patient's specific anatomy promises to enhance the precision and effectiveness of wrist fracture fixation. These custom plates can provide even better fit and stability, potentially leading to improved outcomes and faster recovery times.
Bioactive Coatings
Research is ongoing into bioactive coatings for titanium plates that could promote faster bone healing and integration. These coatings may include growth factors or other substances that stimulate bone formation and reduce the risk of complications.
Smart Implants
The integration of sensors and other smart technologies into titanium plates could allow for real-time monitoring of healing progress and early detection of potential complications. This technology has the potential to revolutionize post-operative care and optimize treatment outcomes.
Conclusion
Titanium plate fixation has emerged as a highly effective and reliable method for treating wrist fractures, offering numerous benefits over traditional approaches. From enhanced stability and biocompatibility to faster healing and long-term durability, titanium plates provide patients with the best possible chance for a full recovery and return to normal activities.
As with any medical treatment, it's crucial for patients to consult with a qualified orthopedic surgeon to determine the most appropriate approach for their specific case. The decision to use a titanium plate for wrist fracture treatment should be based on a thorough evaluation of the injury, the patient's overall health, and their individual needs and goals.
For those seeking high-quality titanium materials for medical applications, including wrist fracture fixation, Baoji INT Medical Titanium Co., Ltd. offers a comprehensive range of products backed by decades of experience and advanced manufacturing capabilities. To learn more about their titanium plates and other medical titanium products, interested parties can contact INT at export@tiint.com.
References
1. Arora R, Lutz M, Hennerbichler A, Krappinger D, Espen D, Gabl M. Complications following internal fixation of unstable distal radius fracture with a palmar locking-plate. J Orthop Trauma. 2007;21(5):316-322.
2. Chung KC, Shauver MJ, Birkmeyer JD. Trends in the United States in the treatment of distal radial fractures in the elderly. J Bone Joint Surg Am. 2009;91(8):1868-1873.
3. Diaz-Garcia RJ, Oda T, Shauver MJ, Chung KC. A systematic review of outcomes and complications of treating unstable distal radius fractures in the elderly. J Hand Surg Am. 2011;36(5):824-835.e2.
4. Egol KA, Walsh M, Romo-Cardoso S, Dorsky S, Paksima N. Distal radial fractures in the elderly: operative compared with nonoperative treatment. J Bone Joint Surg Am. 2010;92(9):1851-1857.
5. Gradl G, Wendt M, Mittlmeier T, Kundt G, Jupiter JB. Non-bridging external fixation employing multiplanar K-wires versus volar locked plating for dorsally displaced fractures of the distal radius. Arch Orthop Trauma Surg. 2013;133(5):595-602.









