The Role of Titanium Plates in Wrist Fracture Treatment
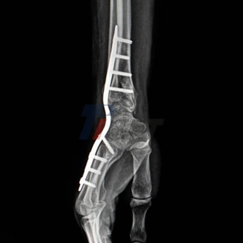
When it comes to treating wrist fractures, titanium plates have emerged as a go-to solution for orthopedic surgeons and rehabilitation specialists. These innovative medical devices play a crucial role in stabilizing the fractured bones, allowing for proper alignment and facilitating the healing process. The use of a titanium plate for broken wrist offers several advantages over traditional treatment methods.
Titanium, known for its biocompatibility and strength-to-weight ratio, is an ideal material for orthopedic implants. When used in wrist fracture treatment, titanium plates provide robust support to the injured area while minimizing the risk of adverse reactions. This makes them particularly valuable in rehabilitation hospitals, where patients require reliable and effective treatment options to regain wrist function.
The application of a titanium plate for a broken wrist involves a surgical procedure where the plate is carefully affixed to the fractured bone using small screws. This technique, known as open reduction and internal fixation (ORIF), allows for precise alignment of the bone fragments and provides immediate stability to the injured wrist. In rehabilitation settings, this stability is crucial for initiating early mobilization and therapy, which are essential components of the recovery process.
Advantages of Titanium Plates in Rehabilitation Hospitals
Rehabilitation hospitals benefit greatly from the use of titanium plates in wrist fracture treatment. These specialized medical facilities focus on helping patients regain independence and functionality after injuries or surgeries. The incorporation of titanium plates for broken wrists in their treatment protocols offers several advantages:
- Enhanced Stability: Titanium plates provide superior stability to the fractured wrist, allowing patients to begin rehabilitation exercises sooner. This early intervention is crucial for preventing stiffness and promoting optimal range of motion in the affected joint.
- Accelerated Healing: The rigidity of titanium plate for broken wrists ensures that the fractured bones remain properly aligned throughout the healing process. This can lead to faster bone union and potentially shorter recovery times, which is particularly beneficial in a rehabilitation hospital setting where efficient patient turnover is essential.
- Reduced Risk of Complications: Titanium's biocompatibility minimizes the risk of allergic reactions or rejections, which can be a concern with other types of implants. This reduced risk of complications allows rehabilitation hospitals to focus on recovery rather than managing potential implant-related issues.
- Improved Patient Comfort: Modern titanium plates are designed to be low-profile, meaning they cause minimal irritation to surrounding tissues. This enhanced comfort allows patients to engage more fully in their rehabilitation programs without being hindered by discomfort from the implant.
- Long-term Durability: Titanium plates are known for their longevity and resistance to corrosion. In many cases, these plates can remain in place indefinitely without causing issues, which is particularly beneficial for patients who may not be candidates for implant removal surgery.
Rehabilitation Protocols and Titanium Plate Integration
The integration of titanium plate for broken wrists into rehabilitation protocols has revolutionized the approach to wrist fracture recovery. Rehabilitation hospitals have developed specialized programs that take full advantage of the stability provided by these implants to optimize patient outcomes.
Typically, the rehabilitation process for a patient with a titanium plate for a broken wrist follows a phased approach:
- Immediate Post-operative Phase: This phase focuses on managing pain, reducing swelling, and protecting the surgical site. Gentle range of motion exercises may be introduced, taking advantage of the stability provided by the titanium plate.
- Early Mobilization Phase: As healing progresses, more active range of motion exercises are introduced. The titanium plate's stability allows for earlier initiation of these exercises compared to traditional treatment methods, potentially leading to improved outcomes.
- Strengthening Phase: Once adequate healing has occurred, strengthening exercises are incorporated into the rehabilitation program. The titanium plate continues to provide support, allowing patients to gradually increase the intensity of their exercises without compromising the fracture site.
- Functional Restoration Phase: In this final phase, rehabilitation focuses on restoring full functionality to the wrist. Activities that mimic daily tasks are introduced, with the titanium plate ensuring that the healed fracture can withstand the stresses of normal use.
Throughout these phases, rehabilitation specialists work closely with patients to monitor progress and adjust treatment plans as needed. The use of titanium plates allows for a more aggressive approach to rehabilitation, potentially leading to faster recovery times and improved functional outcomes. As with any medical treatment, the use of titanium plate for broken wrist is not without potential risks. These may include infection, nerve damage, or implant-related complications. However, in rehabilitation hospital settings, where patients are closely monitored and receive specialized care, these risks are generally well-managed.
The decision to use a titanium plate for a broken wrist is typically made based on several factors, including the nature of the fracture, the patient's overall health, and their functional requirements. In rehabilitation hospitals, where the focus is on restoring patients to their highest level of function, the benefits of titanium plates often outweigh the potential risks. One of the key advantages of titanium plates in rehabilitation settings is their ability to support early weight-bearing and functional use of the affected wrist. This can be particularly beneficial for elderly patients or those with reduced mobility, as it allows them to maintain independence in daily activities during the recovery process.
Conclusion
The use of titanium plate for broken wrists has become an integral part of treatment protocols in rehabilitation hospitals. These innovative implants offer numerous benefits, including enhanced stability, accelerated healing, and improved patient comfort. When combined with specialized rehabilitation programs, titanium plates can significantly contribute to positive outcomes for patients recovering from wrist fractures. For those interested in learning more about medical titanium products, including titanium plates for broken wrists, please contact us at export@tiint.com. Our team of experts is ready to provide detailed information and assist with any inquiries related to medical titanium materials and their applications in orthopedic treatment.








2025-09-02 09:33:40



_1753426807653.webp)
_1750662309903.webp)




