The Evolution of Wrist Fracture Treatment
Wrist fractures have been a challenge for orthopedic surgeons for decades. Traditional treatment methods, such as casting and external fixation, often fell short when dealing with complex fractures, leading to complications like malunion, nonunion, or loss of function. The introduction of internal fixation techniques marked a significant advancement in fracture management, with titanium plates emerging as a game-changer in this field.
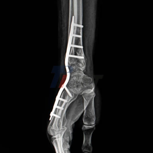
Titanium, a biocompatible metal known for its strength-to-weight ratio and corrosion resistance, has revolutionized the approach to treating complex wrist fractures. The use of titanium plate for wrist fractures has gained widespread acceptance among orthopedic surgeons due to their ability to provide stable fixation while minimizing the risk of complications.
The evolution of titanium plate design has been driven by a deep understanding of wrist anatomy and biomechanics. Modern titanium plates are engineered to match the contours of the distal radius and ulna, allowing for precise placement and optimal load distribution. This anatomical design, coupled with titanium's inherent properties, has significantly improved the outcomes of wrist fracture surgeries.
Advantages of Titanium Plates in Wrist Fracture Treatment
The use of titanium plate for wrist fractures offers several compelling advantages over alternative treatment methods:
- Enhanced Stability: Titanium plates provide superior stability to the fractured bone, allowing for early mobilization and reducing the risk of secondary displacement. This stability is crucial for complex fractures where maintaining proper alignment is challenging.
- Biocompatibility: Titanium is highly biocompatible, meaning it's well-tolerated by the human body. This characteristic minimizes the risk of adverse reactions and promotes better integration with surrounding tissues.
- Low Profile Design: Modern titanium plates are designed with a low profile, reducing soft tissue irritation and the likelihood of hardware-related complications. This design feature is particularly beneficial in the wrist, where space is limited and tendons move in close proximity to the bone.
- Durability: Titanium's exceptional strength-to-weight ratio ensures that the plates can withstand the stresses of daily activities without failure. This durability is essential for long-term stability and successful fracture healing.
- Radiolucency: Titanium is relatively radiolucent compared to other metals, allowing for better visualization of the fracture site on X-rays and CT scans. This property facilitates easier post-operative monitoring and assessment of fracture healing.
- Corrosion Resistance: Titanium's excellent corrosion resistance ensures that the plate maintains its integrity over time, reducing the risk of metal ion release and associated complications.
- Versatility: Titanium plates come in various shapes and sizes, allowing surgeons to choose the most appropriate option for each specific fracture pattern. This versatility enables a more personalized approach to fracture fixation.
These advantages collectively contribute to improved surgical outcomes, faster recovery times, and enhanced patient satisfaction when using titanium plates for wrist fractures.
Surgical Techniques and Considerations
The successful application of titanium plate for wrist fractures requires meticulous surgical planning and execution. Orthopedic surgeons must consider several factors when employing this technique:
- Preoperative Planning: Comprehensive preoperative imaging, including X-rays and CT scans, is essential to assess the fracture pattern and plan the optimal plate placement. This planning stage allows surgeons to select the appropriate plate size and determine the number and position of screws required for stable fixation.
- Surgical Approach: The choice of surgical approach depends on the fracture location and pattern. Common approaches include volar (anterior), dorsal, or combined approaches. The volar approach has gained popularity due to its lower risk of tendon irritation and better soft tissue coverage.
- Plate Positioning: Precise positioning of the titanium plate is crucial for optimal fracture reduction and stability. Surgeons must ensure that the plate contours match the bone anatomy and that screw placement avoids the articular surface and nearby tendons.
- Screw Selection: The type and length of screws used in conjunction with the titanium plate play a vital role in achieving stable fixation. Locking screws, which thread directly into the plate, provide enhanced stability and are particularly useful in osteoporotic bone.
- Soft Tissue Handling: Careful handling of soft tissues during plate application is essential to minimize the risk of complications such as tendon irritation or nerve injury. Surgeons must be mindful of the proximity of important structures like the flexor pollicis longus tendon and the median nerve.
- Intraoperative Imaging: Fluoroscopic guidance during surgery helps ensure proper plate positioning and screw placement. This real-time imaging allows surgeons to make adjustments as needed to achieve optimal fracture reduction and fixation.
- Postoperative Protocol: The use of titanium plates often allows for earlier mobilization compared to traditional methods. However, the specific postoperative protocol should be tailored to the individual patient and fracture characteristics to balance the benefits of early motion with the need for adequate healing time.
By adhering to these surgical principles and leveraging the advantages of titanium plates, orthopedic surgeons can effectively treat complex wrist fractures, promoting faster healing and better functional outcomes.
The effectiveness of titanium plates in treating complex wrist fractures has been substantiated by numerous clinical studies and long-term follow-up data. Research has consistently shown that patients treated with titanium plate fixation experience several benefits:
- Improved Fracture Healing: The stable fixation provided by titanium plates promotes more reliable and faster fracture healing compared to non-operative methods or less rigid fixation techniques.
- Better Functional Outcomes: Patients treated with titanium plates typically regain a greater range of motion and grip strength, leading to improved functional outcomes in daily activities and return to work.
- Lower Complication Rates: The use of titanium plates is associated with lower rates of complications such as malunion, nonunion, and hardware failure compared to alternative fixation methods.
- Reduced Recovery Time: The stability offered by titanium plates often allows for earlier mobilization and rehabilitation, potentially shortening the overall recovery period.
- Long-term Durability: Follow-up studies have demonstrated the long-term durability of titanium plates, with many patients maintaining good functional outcomes years after surgery without the need for hardware removal.
While the advantages of titanium plates for wrist fractures are significant, it's important to note that their use is not without potential challenges. Surgeons must be vigilant for complications such as tendon irritation, hardware prominence, or screw penetration into the joint space. However, these risks can be minimized through proper surgical technique and careful patient selection.
The field of orthopedic surgery continues to evolve, with ongoing research focused on further improving titanium plate designs and surgical techniques. Innovations such as variable-angle locking plates and 3D-printed custom titanium implants hold promise for even better outcomes in the future treatment of complex wrist fractures.
Conclusion
Titanium plates have proven to be highly effective in treating complex wrist fractures, offering a combination of stability, biocompatibility, and versatility that surpasses traditional fixation methods. Their use has significantly improved the management of these challenging injuries, leading to better functional outcomes and patient satisfaction. As technology advances and surgical techniques refine, the role of titanium plates in wrist fracture treatment is likely to expand further, continuing to benefit patients with these debilitating injuries.
For more information about medical titanium products, including titanium plate for wrist fractures, please contact us at export@tiint.com. Our team at Baoji INT Medical Titanium Co., Ltd. is committed to providing high-quality titanium materials for orthopedic applications, leveraging our extensive experience and cutting-edge technology to support improved patient outcomes worldwide.








2025-09-23 09:35:53


_1752463324629.webp)
_1751620280646.webp)





