Can Titanium Plates in Your Wrist Cause Problems?
2025-12-30 08:44:10
Wrist wounds can be weakening, regularly requiring surgical intercession to reestablish usefulness and lighten torment. One common arrangement in orthopedic surgery is the use of titanium plates to stabilize breaks or combine bones. Whereas titanium plate in wrist surgery has become a standard practice, numerous patients ponder potential complications or long-term impacts. This article delves into the world of titanium inserts, investigating their benefits, conceivable issues, and what you need to know if you're considering or have experienced this procedure.
|
|
|
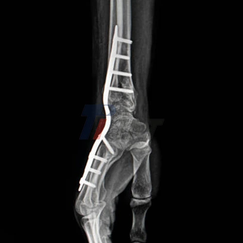
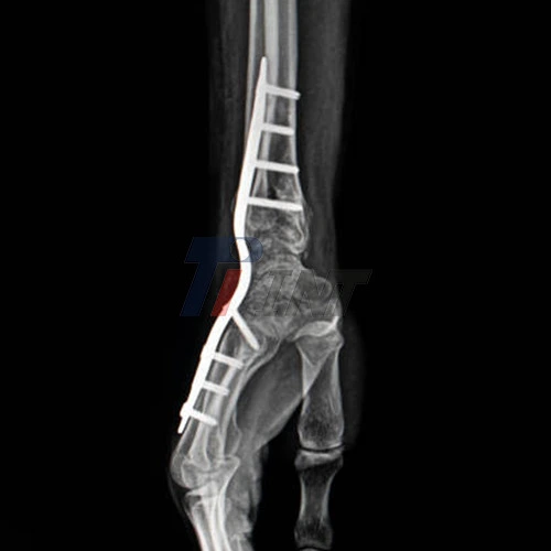
The Role of Titanium Plates in Wrist Surgery
Titanium plates play a pivotal part in wrist surgeries, especially in cases of complex breaks or arthrodesis (joint fusion). These plates are outlined to hold bone parts in place, permitting appropriate mending and arrangement. The utilization of titanium in restorative implants has revolutionized orthopedic surgery due to its unique properties:
- Biocompatibility: Titanium is well-tolerated by the human body, rarely causing allergic reactions.
- Strength-to-weight ratio: Despite being lightweight, titanium offers exceptional strength, making it ideal for load-bearing applications.
- Corrosion resistance: Titanium resists degradation in the body, ensuring long-term stability of the implant.
- Osseointegration: Titanium has the ability to bond with bone tissue, promoting faster healing and stronger fixation.
During wrist surgery, orthopedic specialists carefully select the fitting titanium plate based on the particular harm and persistent life systems. These plates come in different shapes and sizes, permitting customized treatment approaches. The strategy regularly includes making an incision, realigning the bones, and securing the plate with screws. Whereas titanium plates offer various points of interest, it's basic to understand that any surgical intercession carries potential dangers and complications. Let's investigate a few of the issues that patients might experience after titanium plate addition in wrist surgery.
Potential Problems Associated with Titanium Plates in the Wrist
Despite the overall safety and efficacy of titanium plate in wrist surgery, some patients may experience complications or discomfort. It's important to note that serious issues are relatively rare, and many problems can be addressed through proper care and follow-up treatment. Here are some potential concerns:
Hardware-related discomfort
One of the most common complaints among patients with titanium plates in their wrists is a sensation of the hardware. This can manifest as:
- Palpable prominence: Some individuals may feel the plate or screws beneath their skin, especially if they have thin soft tissue coverage.
- Cold sensitivity: Titanium conducts temperature differently than human tissue, which can lead to increased sensitivity to cold weather.
- Stiffness or restricted range of motion: In some cases, the presence of the plate may limit wrist flexibility, particularly if it spans a joint.
While these sensations are often manageable and may diminish over time, they can be bothersome for some patients. In cases where discomfort persists or significantly impacts quality of life, removal of the hardware may be considered after the bone has fully healed.
Infection
Although titanium is highly biocompatible, there's always a risk of infection following any surgical procedure. Infections related to titanium plate in wrist surgery is relatively uncommon but can be serious if they occur. Symptoms may include:
- Persistent pain or tenderness around the surgical site
- Redness, swelling, or warmth in the affected area
- Fever or chills
- Drainage from the incision
Prompt medical attention is crucial if any signs of infection are observed. Treatment typically involves antibiotics, and in severe cases, the implant may need to be removed to eradicate the infection.
Allergic reactions
While titanium allergies are extremely rare, they can occur in a small percentage of individuals. Symptoms of a titanium allergy may include:
- Persistent skin rash or irritation near the implant site
- Chronic inflammation or pain
- Impaired wound healing
Implant failure or loosening
In rare instances, titanium plates may fail or become loose. This can happen due to:
- Excessive stress on the implant
- Improper placement during surgery
- Delayed or impaired bone healing
Symptoms of implant failure may include sudden pain, instability in the wrist, or visible deformity. If detected, revision surgery may be necessary to correct the issue and ensure proper healing.
Soft tissue irritation
The edges of titanium plates or protruding screw heads can sometimes cause irritation to surrounding soft tissues, including tendons, ligaments, or nerves. This may result in:
- Localized pain or discomfort
- Tendonitis or tendon rupture in severe cases
- Nerve compression symptoms, such as numbness or tingling
Careful surgical technique and appropriate plate selection can minimize these risks, but if persistent issues occur, hardware modification or removal may be considered.
Mitigating Risks and Ensuring Successful Outcomes
Whereas the potential issues related to titanium plate in wrist surgery may appear overwhelming, it's vital to remember that the tremendous majority of patients encounter effective results and improved quality of life. To minimize dangers and guarantee the best conceivable results, consider the following suggestions:
Choose an experienced surgeon
The skill and experience of your orthopedic surgeon play a crucial role in the success of your wrist surgery. Look for a board-certified specialist with extensive experience in wrist procedures and titanium plate insertion. Don't hesitate to ask about their success rates and complication rates for similar surgeries.
Follow post-operative instructions carefully
Adhering to your surgeon's post-operative care instructions is vital for proper healing and reducing the risk of complications. This may include:
- Keeping the surgical site clean and dry
- Taking prescribed medications as directed
- Attending all follow-up appointments
- Gradually increasing activity levels as advised by your healthcare team
Engage in physical therapy
Rehabilitation through physical therapy is crucial for restoring wrist function and preventing stiffness. Your therapist will guide you through exercises designed to improve range of motion, strength, and overall functionality of your wrist.
Be patient with the healing process
Bone healing and adaptation to the titanium plate take time. It's normal to experience some discomfort or limitations in the early stages of recovery. Most patients see significant improvements within 3-6 months, but full recovery can take up to a year or more.
Titanium plate in wrist surgery has revolutionized the treatment of complex wrist injuries and conditions. While potential problems exist, they are generally outweighed by the benefits of improved stability, faster healing, and restored function. By understanding the risks and taking proactive steps to ensure proper care and follow-up, patients can maximize their chances of a successful outcome.
Conclusion
Titanium plate in wrist surgery has become an indispensable tool in wrist surgery, offering a combination of strength, biocompatibility, and durability that few other materials can match. While concerns about potential problems are valid, it's important to remember that serious complications are relatively rare when the procedure is performed by a skilled surgeon and proper post-operative care is followed.
For more information about medical-grade titanium and its applications in orthopedic surgery, feel free to reach out to the experts at Baoji INT Medical Titanium Co., Ltd. at export@tiint.com. With over 30 years of experience in titanium material research, development, and production, INT is committed to providing high-quality, stable medical titanium materials for a wide range of surgical applications.
References
1. Tarallo, L., Mugnai, R., Adani, R., & Catani, F. (2014). Volar plate fixation for the treatment of distal radius fractures: analysis of adverse events. Journal of Orthopaedic Trauma, 28(8), e164-e168.
2. Spiteri, M., & Roberts, D. (2019). Removal of volar locking plate after distal radius fracture. Journal of Wrist Surgery, 8(03), 246-248.
3. Lutsky, K. F., & Beredjiklian, P. K. (2015). Removal of hardware after internal fixation of distal radius fractures. Journal of Hand Surgery, 40(10), 2064-2067.
4. Kanse, J., & Eygendaal, D. (2020). Complications after fracture fixation of the distal radius. Strategies in Trauma and Limb Reconstruction, 15(1), 47-52.
5. Waris, E., Ashammakhi, N., Kaarela, O., Raatikainen, T., & Vasenius, J. (2004). Use of bioabsorbable osteofixation devices in the hand. Journal of Hand Surgery, 29(6), 590-598.









